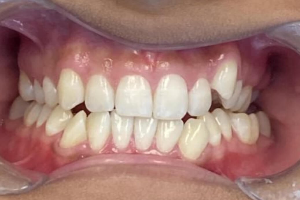
Straighten Teeth with Invisalign clear braces.
Patient
- Age:
- 40 - 49
- Gender:
- Female
- Ethnicity:
- White
- Height:
- Undisclosed
- Weight:
- Undisclosed
- Gallery:
- 96135
Procedure Details
Invisalign
Location
Popular Searches
* All information subject to change. Images may contain models. Individual results are not guaranteed and may vary.

