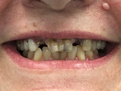
Frisco Patient Gets Full Mouth Rehabilitation
Patient
- Age:
- undisclosed
- Gender:
- Undisclosed
- Ethnicity:
- Undisclosed
- Height:
- Undisclosed
- Weight:
- Undisclosed
- Gallery:
- 70878
Procedure
- Dental Implants
- Full-Mouth Reconstruction
- Porcelain Veneers
- Porcelain Crowns
- IV Sedation
- Smile Makeover
- Laser Gum Treatment
- Sedation Dentistry
- Porcelain Bridges
- Porcelain Dental Veneers
- Smile Makeover
- Porcelain Veneer
- Tooth Veneers
- all ceramic veneers
- Smile Design
- crowns
- cosmetic dentistry
- Porcelain Dental Crowns
- All Ceramic Crowns
- Porecelain Crowns
- Full Mouth Restoration
- All Porcelain Crown
- Cosmetic Dentistry
- Cosmetic
- Dental Veneers
- White smile
- All Ceramic Crown
- crown
- Dental Crown
- caps
- Gum Recontouring
- New Smile
- full mouth reconstruction
- Restorative Dentistry
- Veneers
- gum lift
- Teeth Whitening
- gum surgery
- Bad Bite
- Dental Crowns
- Porcelain caps
- Dental Caps
- Bite Analysis
- Cosmetic Teeth Whitening
- Bite Balancing
- Adhesive Dentistry
- Replace missing teeth
- Crown Lengthening
- dentist near me
Procedure Details
Full Mouth Rehabilitation
Location
Popular Searches
* All information subject to change. Images may contain models. Individual results are not guaranteed and may vary.

